Bei der Keratektomie werden krankhafte Veränderungen der Hornhaut chirurgisch entfernt. Sie wird bei verschiedenen Erkrankungen der Hornhaut angewandt. Die klassische Erkrankung, bei der die Keratektomie zur Anwendung kommt, ist die Cornea nigra (Hornhautsequester) der Katze. Aber auch andere Veränderungen z.B. Hornhauttumore (sehr selten), Inklusionszysten und korneale Dermoide werden mit der Keratektomie behandelt.
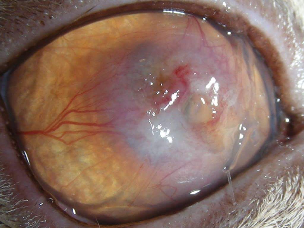
Cornea nigra (Hornhautsequester) der Katze
Bei dieser schmerzhaften Erkrankung sterben Teile der Hornhaut ab, werden nekrotisch. In diesen toten Bereich der Hornhaut lagert sich Pigment aus der Tränenflüssigkeit ein. Dadurch ist der Sequester deutlich an seiner braunen Farbe zu erkennen. Mit der Zeit nimmt die Cornea nigra mehr und mehr an Tiefe zu. Das abgestorbene Hornhautgewebe wird oft nach einiger, oft langer Zeit abgestoßen und hinterlässt einen Defekt in Form eines pigmentierten Kraters in der Hornhaut, der sehr tief oder sogar perforierend sein kann.
Eine konservative Therapie ist nur in sehr ausgewählten Fällen wirklich ratsam. Die chirurgische Entfernung des Sequesters mithilfe der Keratektomie bringt hohe Heilungschancen in kurzer Zeit mit sich. Dabei wird das abgestorbene Gewebe unter einem OP-Mikroskop entfernt. Bei tiefen Sequestern ist anschießend eine Füllung des Defektes mit einem Transplantat (Corneoconjunktivale Transposition CCT) notwendig.
Keratektomie ohne Transplantat
CCT (corneoconjunktivale Transposition)






















