Zum Inhalt springen
AUGEN-TIERARZTPRAXIS

AUGEN-TIERARZTPRAXIS

Augenerkrankungen bei Tieren

  • Unsere Leistungen
    • Augenuntersuchungen
    • DOK-Zuchtuntersuchung
    • Augenoperationen
  • Unsere Patienten
  • Unsere Praxis
    • Unsere Philosophie
    • Das sagen unsere Kunden
    • Downloads
  • Unser Team
    • Tierärzte
    • Tiermedizinische Fachangestellte und Praxisorganisation
  • Termine online anfragen
  • Überweisungsformular
  • Stellenangebote
  • Wissenswertes über Augenerkrankungen
  • Patientengeschichten
  • Publikationen & Vorträge
  • Presse
  • Kontakt & Anfahrt
  • Impressum
  • Datenschutz
Wir haben noch geschlossen.Wir haben wieder am Montag (20. April 2026) von 08:00 bis 20:00 geöffnetHeutige Öffnungszeiten: 08:00 – 16:30

Foto Facebook

Vorheriges Bild
Nächstes Bild

13161906_829137620526239_6076707347671734823_o

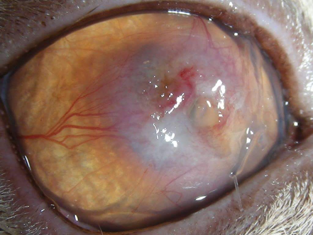
Kurz danach bricht der Sequester aus der Hornhaut heraus, es bleibt ein sehr tiefer Defekt. Am Rand des Defektes braune Restnekrose.

Veröffentlicht am 24. Februar 201724. Februar 2017Volle Größe 1024 × 768

Beitragsnavigation

Veröffentlicht inAugenoperationen bei Tieren
Wir nutzen Cookies von Google Analytics, um die Internetseite für Sie so interessant wie möglich zu gestalten. Sind Sie damit einverstanden? Sie können diese Entscheidung jederzeit widerrufen. Funktionale Cookies bleiben hiervon unberührt.
You can revoke your consent any time using the Revoke consent button.