Zum Inhalt springen
AUGEN-TIERARZTPRAXIS

AUGEN-TIERARZTPRAXIS

Augenerkrankungen bei Tieren

  • Unsere Leistungen
    • Augenuntersuchungen
    • DOK-Zuchtuntersuchung
    • Augenoperationen
  • Unsere Patienten
  • Unsere Praxis
    • Unsere Philosophie
    • Das sagen unsere Kunden
    • Downloads
  • Unser Team
    • Tierärzte
    • Tiermedizinische Fachangestellte und Praxisorganisation
  • Termine online anfragen
  • Formulare
    • Überweisungsformular
    • Behandlungsauftrag
  • Stellenangebote
  • Wissenswertes über Augenerkrankungen
  • Patientengeschichten
  • Publikationen & Vorträge
  • Presse
  • Kontakt & Anfahrt
  • Impressum
  • Datenschutz
Wir haben noch geschlossen.Wir haben wieder am Freitag (22. Mai 2026) von 08:00 bis 20:00 geöffnetHeutige Öffnungszeiten: 08:00 – 20:00

Foto Facebook

Vorheriges Bild
Nächstes Bild

11054521_652839291489407_2215084654619264698_n

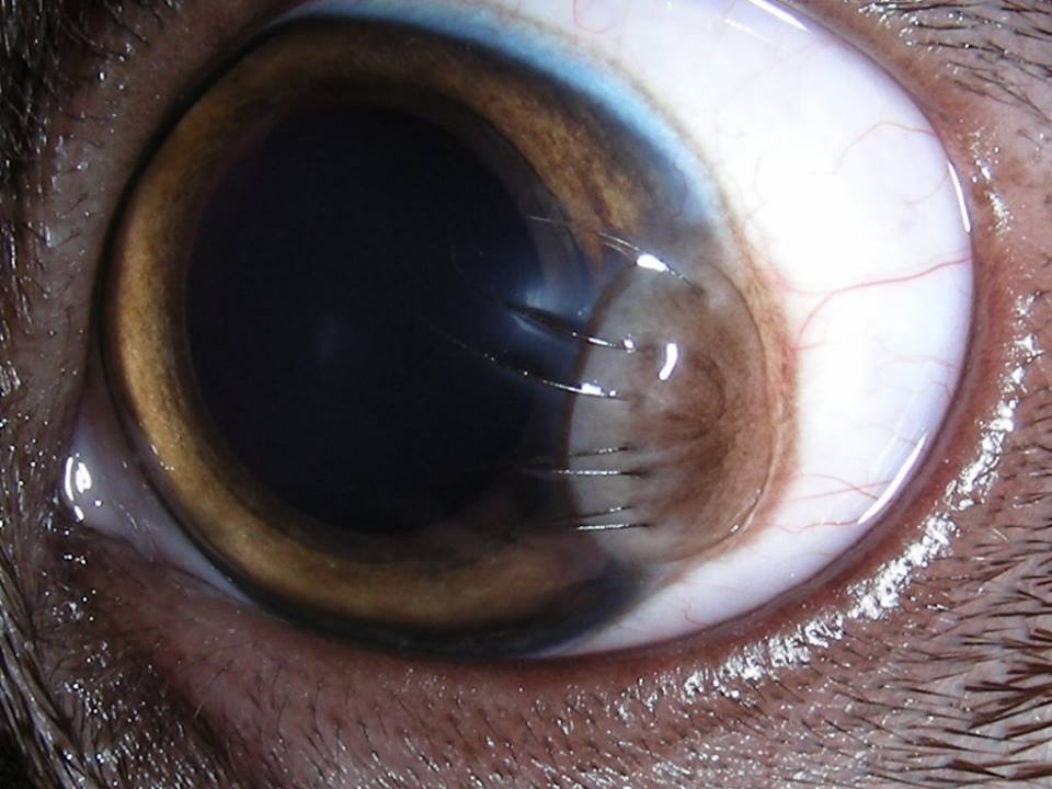
Hornhautdermoid

Veröffentlicht am 25. Februar 201725. Februar 2017Originalgröße 960 × 720

Beitragsnavigation

Veröffentlicht inAugenoperationen bei Tieren
Wir nutzen Cookies von Google Analytics, um die Internetseite für Sie so interessant wie möglich zu gestalten. Sind Sie damit einverstanden? Sie können diese Entscheidung jederzeit widerrufen. Funktionale Cookies bleiben hiervon unberührt.
You can revoke your consent any time using the Revoke consent button.