Zum Inhalt springen
AUGEN-TIERARZTPRAXIS

AUGEN-TIERARZTPRAXIS

Augenerkrankungen bei Tieren

  • Unsere Leistungen
    • Augenuntersuchungen
    • DOK-Zuchtuntersuchung
    • Augenoperationen
  • Unsere Patienten
  • Unsere Praxis
    • Unsere Philosophie
    • Das sagen unsere Kunden
    • Downloads
  • Unser Team
    • Tierärzte
    • Tiermedizinische Fachangestellte und Praxisorganisation
  • Termine online anfragen
  • Formulare
    • Überweisungsformular
    • Behandlungsauftrag
  • Stellenangebote
  • Wissenswertes über Augenerkrankungen
  • Patientengeschichten
  • Publikationen & Vorträge
  • Presse
  • Kontakt & Anfahrt
  • Impressum
  • Datenschutz
Wir haben geöffnet.Heutige Öffnungszeiten: 08:00 – 20:00

Foto Facebook

Vorheriges Bild
Nächstes Bild

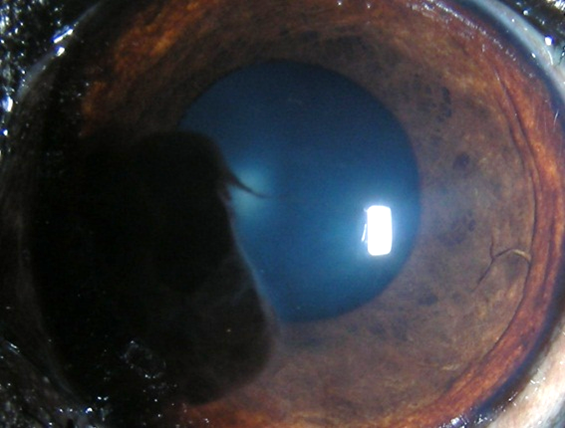
pigmentierenden Hornhautentzündung

pigmentierenden Hornhautentzündung

Linkes Auge vor OP und Kryotherapie mit sehr dichter Pigmentierung.

Veröffentlicht am 27. Februar 201712. Oktober 2017Originalgröße 565 × 428

Beitragsnavigation

Veröffentlicht inAugenoperationen bei Tieren
Wir nutzen Cookies von Google Analytics, um die Internetseite für Sie so interessant wie möglich zu gestalten. Sind Sie damit einverstanden? Sie können diese Entscheidung jederzeit widerrufen. Funktionale Cookies bleiben hiervon unberührt.
You can revoke your consent any time using the Revoke consent button.