Zum Inhalt springen
AUGEN-TIERARZTPRAXIS

AUGEN-TIERARZTPRAXIS

Augenerkrankungen bei Tieren

  • Unsere Leistungen
    • Augenuntersuchungen
    • DOK-Zuchtuntersuchung
    • Augenoperationen
  • Unsere Patienten
  • Unsere Praxis
    • Unsere Philosophie
    • Das sagen unsere Kunden
    • Downloads
  • Unser Team
    • Tierärzte
    • Tiermedizinische Fachangestellte und Praxisorganisation
  • Termine online anfragen
  • Überweisungsformular
  • Stellenangebote
  • Wissenswertes über Augenerkrankungen
  • Patientengeschichten
  • Publikationen & Vorträge
  • Presse
  • Kontakt & Anfahrt
  • Impressum
  • Datenschutz
Wir haben noch geschlossen.Wir haben wieder am Freitag (6. März 2026) von 08:00 bis 20:00 geöffnetHeutige Öffnungszeiten: 08:00 – 20:00

Foto Facebook

Vorheriges Bild
Nächstes Bild

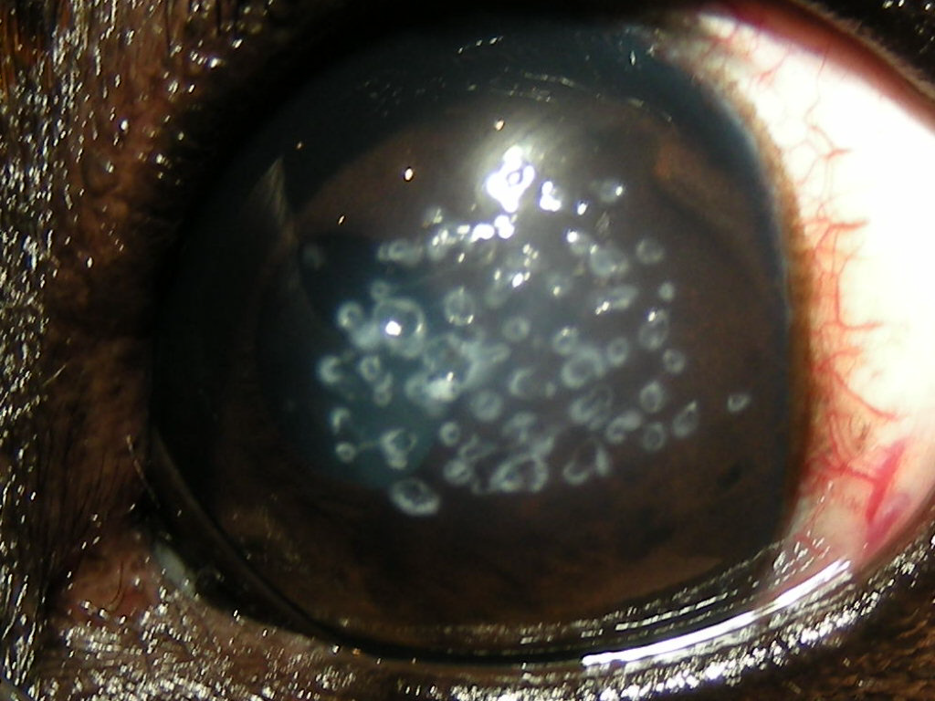
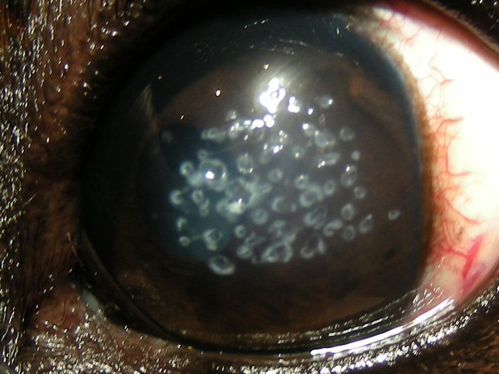
00019261_00022827_Bild_2017_03_20_0000063788

Linkes Auge nach der Operation.

Veröffentlicht am 4. April 20174. April 2017Volle Größe 1024 × 768

Beitragsnavigation

Veröffentlicht inFranzis Hornhaut trübt sich ein
Wir nutzen Cookies von Google Analytics, um die Internetseite für Sie so interessant wie möglich zu gestalten. Sind Sie damit einverstanden? Sie können diese Entscheidung jederzeit widerrufen. Funktionale Cookies bleiben hiervon unberührt.
You can revoke your consent any time using the Revoke consent button.